0898-72-2988
営業時間 9:00~20:00 土曜日曜9:00‐19:00



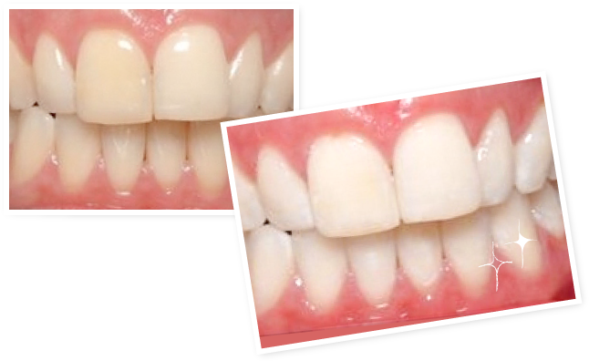
芸能人やモデルに人気。
メディアでも話題の
30分で簡単・痛くない歯のホワイトニング!
虫歯・インプラント・矯正を
行っていても大丈夫!
食事制限もないので誰でも受けられ、
従来のホワイトニングよりも
お手頃な価格でケアが可能です。
ぜひご自身で実感してください。



結果に個人差はありますが、多くの方が 1回の施術(LED照射8分×2回)で2~4トーン程度アップ されています。また、週1回ペースで4、5回程度連続して施術を行うことで自分本来の歯の色に戻すことができます。その後は月1~2回程度のメンテナンスで明るく輝く歯を維持していくことができます。
少しでも早く効果を得たいという方は、毎日通っていただいても問題ありません。また、歯にダメージのあるものではないので一度のご来店で2回の施術(8分×4回)を行うことも可能です。希望される方は2件分のご予約をお取り下さい。


























歯の質により個人差はありますので一概には言えませんが、1回で2~4トーンのお色が上がる方が多いです。 喫煙されている方や赤ワイン等、歯に着色しやすいものを嗜まれている方の場合は、最初は4~5回程度続けてお越しいただくことによりいっそう効果が上がります。 ある程度トーンが上がりましたら その後は月1~2回程度のメンテナンスとして必要と感じられた際にご来院いただくことをご提案しております。
使用しているホワイト溶液は食品などにも使われている「酸化チタン」と呼ばれるものを主成分に作られているため、痛みを伴わず安心してご使用いただけます。
歯が傷つくことはございません。逆に歯のクリーニングをしていただくことにより虫歯予防・歯周病予防・口臭等に効果がありますので、一度お試しいただければと思います。
食事制限はございません。 ホワイトニング方法によっては歯の表面を溶かすこともあり、ホワイトニング後は着色しやすい状態になるため、色の濃い食事は控えるといった規制がありますが、当店では歯の表面を溶かす様な事は一切ございませんので、ケア直後でも飲食が可能なのが特徴のひとつでもあります。
差し歯はもちろんのこと、銀歯を含めた詰物・インプラント・セラミック・矯正中の方、口内環境に伴う制限なく、どなた様でもご利用いただくことが可能です。
先生に確認をしていただくのが最善ですが、治療中や虫歯がございましても問題はございません。歯のベニヤに関しましては、元々非常に割れやすい物でございます。光による破損は考え辛いですが、万が一の事を考え先生に先に確認していただく事をおススメいたします。

3,500円/1回
通常料金4,320円が今ならこの価格!
気軽にホワイトニングが試せます!
4,050円/1回
コース料金:16,200円
(1,080円お得)
3,780円/1回
コース料金:30,240円
(4,320円お得)
3,240円/1回
コース料金:38,880円
(12,960円お得)
16,200円
期間内、何度でも!
やり放題!
価格は税抜き表示になります。